Our Goals

Veneers

A veneer is a layer placed over top of the tooth surface. It is used to improve the aesthetics of a smile or to help replace damaged tooth structure. Typically a veneer may be done in composite resin or a dental porcelain like Emax.

Typically lateral incisors are the most common teeth to have size discrepancies. A veneer may be a minimally invasive way to give the tooth the proper size.

Typically lateral incisors are the most common teeth to have size discrepancies. A veneer may be a minimally invasive way to give the tooth the proper size.

We may elect to cover all of the teeth that appear in the smile line.

We may elect to cover all of the teeth that appear in the smile line.

One of my favourite cases.

One of my favourite cases.

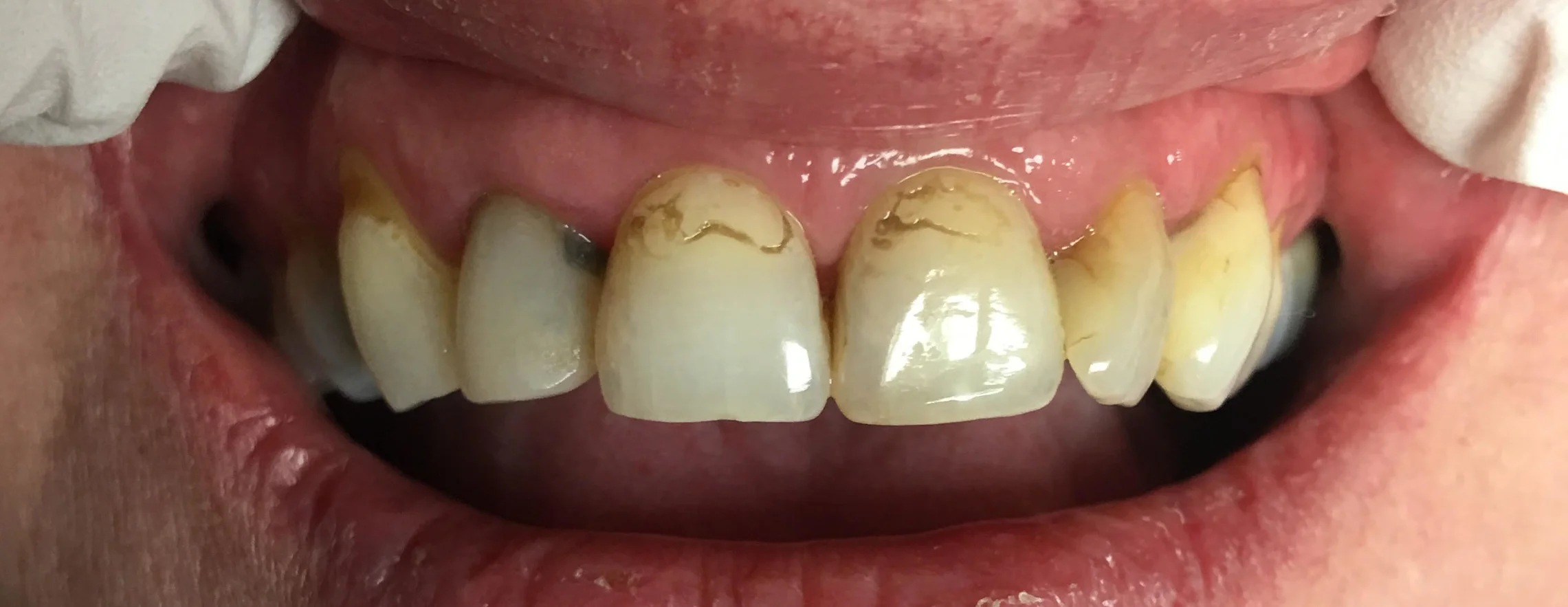
Preoperative photo: There is stain around the margins of composite resins, inter-proximal caries.

Preoperative photo: There is stain around the margins of composite resins, inter-proximal caries.

Prior to any tooth preparation we discuss what the patient would like as a final result. In regards to tooth shape and shade selection.

Prior to any tooth preparation we discuss what the patient would like as a final result. In regards to tooth shape and shade selection.

After bonding the veneers into place.

After bonding the veneers into place.

The patient loving her new SMILE!

The patient loving her new SMILE!

Two years post treatment. The restorations are doing well. Emax veneers don’t tend to pick up stain the same way composite resin does over time.

Two years post treatment. The restorations are doing well. Emax veneers don’t tend to pick up stain the same way composite resin does over time.

This is one of my favourite services that I provide my patients. The materials have improved dramatically the past few years making preparation in most cases minimally invasive. The results have the patients leave my office smiling.

I hope everyone enjoys their upcoming Christmas holidays. GO HOUNDS GO!

Teeth Whitening

Have you always wanted a brighter whiter smile? One of our favourite services is to provide our patients with an at home whitening system.

Our whitening system of choice: Venus White 35% Carbamide Peroxide by Kulzer Dental

Our whitening system of choice: Venus White 35% Carbamide Peroxide by Kulzer Dental

At Home Bleaching Instructions

  • Use bleaching material on front tooth surfaces only (keep it within your smile line, no molars, no soft tissue)

  • Bleaching should be done 1x daily for 15 minutes. Continue use each day for 2-3 weeks for optimal results. You can increase to 2x per day for quicker results.

  • Make sure to push trays into place so material is distributed evenly. Dab with a tissue to avoid overflow of material onto the gingival tissue. If your gums are tingling or you can taste the material, you are using too much.

  • Avoid brushing at least half hour before or after bleaching. Rinsing with warm water is encouraged during bleaching process as it can lead to some sensitivity.

  • For cleaning the trays, use warm water and finger pressure to remove gel, place back into storage case.

  • No special instructs for storage of bleach material.

Note how I’m placing a tiny dot on the front surface of the tray. Keeping the bleach within the smile line (teeth you see when smiling).

Note how I’m placing a tiny dot on the front surface of the tray. Keeping the bleach within the smile line (teeth you see when smiling).

Remember 15 minutes per application and not to overdo it with the amount of bleach material. A typical syringe of whitening product will last about 6-7 applications (top and bottom). If you have any additional questions we love to answer them.

Happy bleaching. Enjoy the weekend! GO HOUNDS GO!

Quick demonstration on how to insert at home bleach trays.

Crown & Bridge

Crowns aren’t just sparkly jewel hats that royalty wears or what your favourite sports team has accomplished in their past season. The bridge I would like to discuss does not connect the twin Saults. All kidding aside when your dentist suggests a crown or bridge they are talking about a indirectly fabricated restoration (made outside of the mouth) that will help protect a badly broken down tooth or help restore edentulous (missing) teeth. Below: An example of a crown (1 tooth being covered) versus a bridge (multiple teeth being covered or replaced).

Image of a Single Unit Crown (Zirconium) vs. 4 Unit Bridge (PFM).

Image of a Single Unit Crown (Zirconium) vs. 4 Unit Bridge (PFM).

Below: A crown preparation showing tooth structure being removed around a tooth this will allow the crown to provide extra-coronal coverage (i.e. a hard hat for the tooth).

A single unit crown prep, the red dye is used as spacer for cement.

A single unit crown prep, the red dye is used as spacer for cement.

Below: A bridge prep showing how two abutments (prepared teeth) that are supporting two pontics (false teeth). The final result is two teeth giving the appearance and function of four teeth.

See how the 2 outside teeth will support 2 false teeth in-between.

See how the 2 outside teeth will support 2 false teeth in-between.

In some cases, teeth are so badly broken down we don’t necessarily want to remove all of the outside walls. Instead preparing around the tooth we might make a lab fabricated onlay or inlay. This way we preserve as much natural tooth structure as possible. Below: showing an onlay prep on a root canal treated tooth and the final onlay restoration in composite resin (regular white filling material).

Onlay prep, note there is only 1 natural tooth wall remaining on the outside surface.

Onlay prep, note there is only 1 natural tooth wall remaining on the outside surface.

Final onlay restoration in a composite resin. Having it made outside of the mouth allows for easier placement and better contacts creating a superior result for the patient.

Final onlay restoration in a composite resin. Having it made outside of the mouth allows for easier placement and better contacts creating a superior result for the patient.

Implants are titanium screws placed into the bone that are restored with crown and bridges as well as other prosthesis (i.e. partials and dentures). In the future I will update a post specifically on implant dentistry. As for now I hope you enjoyed learning about indirect crown and bridge. If you have any questions feel free to contact us!

Everyone enjoy their weekend!! Go hounds go!

Anthony

Dental Hygiene

Your dental health is a good indicator of your overall health.  

As such, our office strongly believes that prevention is the best method.  Our friendly dental hygienists, Raquel and Candice are licensed to perform comprehensive dental hygiene exams.  We strive to keep you with your preferred hygienist to maintain continuity and a more tailored approach to the management of your oral health.  Our office exclusively uses digital radiography. Besides providing a better image that can be magnified, the main benefit of digital x-rays versus conventional radiography is that you are exposed to less radiation. During your hygiene visits, Dr. Barzan will verify for periodontal disease, screen for oral cancer, do an analysis of your bite, and a thorough examination of your teeth. Screening for inflammation in the mouth is a useful tool for helping detect systemic diseases. If you are an athlete, another important aspect of prevention is having a custom made sports mouth-guard. And if you’ve always wanted whiter teeth ask about our whitening products. We are able to provide these for you with minimal wait times for our patients who want to maintain good oral hygiene and overall health.